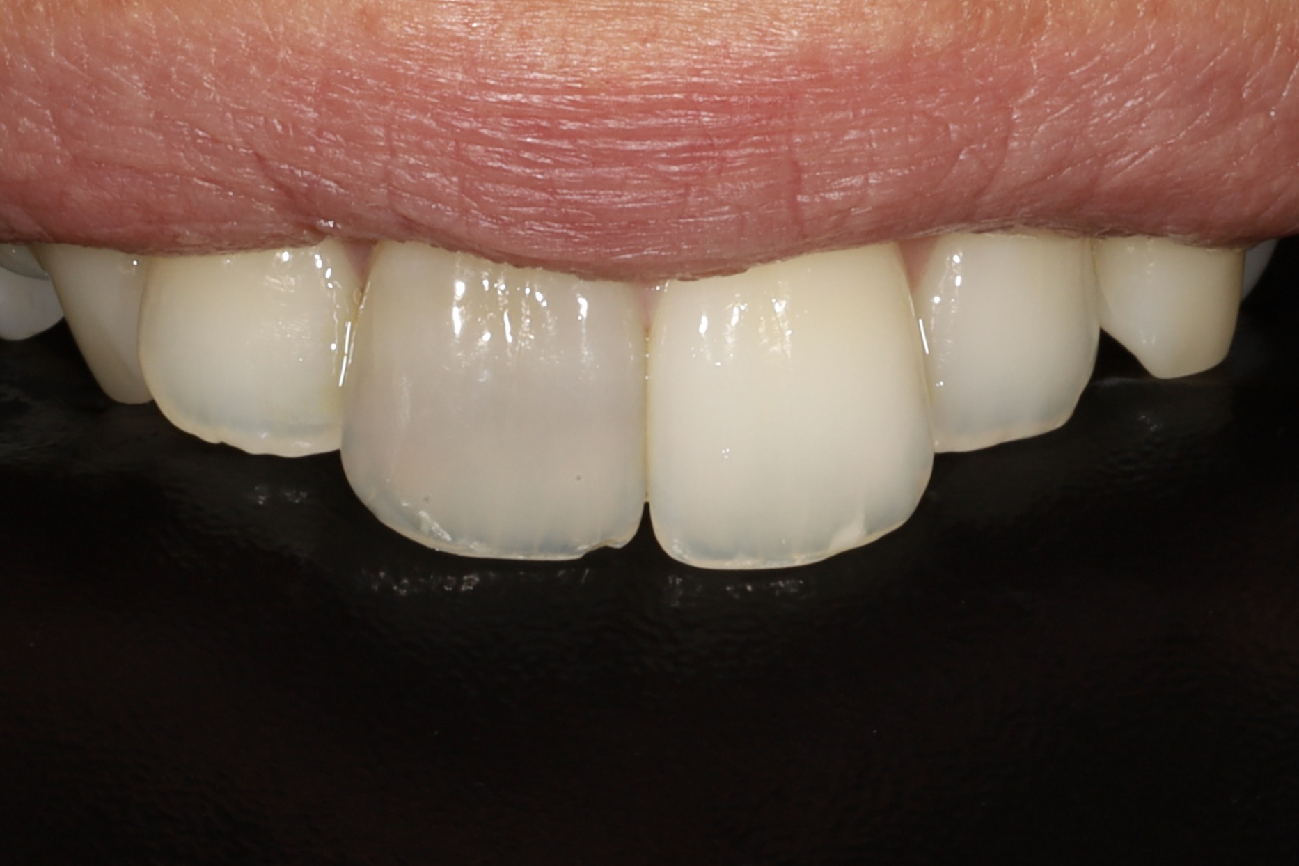
Ennen hoitoa
Kuvia hammashoidoista
Implanttihoidot
Hammasimplanttien avulla voimme parantaa asiakkaidemme elämänlaatua monin tavoin. Toimivat ja kauniit hampaat kohottavat itsetuntoa ja estävät hankalia tilanteita. Implanttihoidot saavat yksinkertaisesti taas hymyn asiakkaan huulille.
Potilaalla oli ollut pitkään hoitamaton hampaisto, jonka vuoksi tilanne hampaissa ja suussa oli heikentynyt merkittävästi. Potilaalle päädyttiin tekemään implanttikantoiset All-on-4 -sillat sekä ylä- että alaleukaan. Yläleukaan tehtiin lopuksi zirconiasilta esteettisyyden parantamiseksi ja alaleukaan akryylisilta.
Implanttikantoiset posliinilla kerrostetut zirkoniasillat sekä ylä- että alaleukaan puuttuvien hampaiden tilalle.
Ennen hoitoa

Hoidon jälkeen

Yläleuan puuttuvan hampaan hoito implantilla.
Ennen hoitoa

Hoidon jälkeen

Ylähampaiden korjaus hammasimplantein ja -kruunuin.
Ennen hoitoa

Hoidon jälkeen

Kuluneen hampaiston hoito kruunuin ja implantein.
Hammaskruunut ja -laminaatit
Hammaskruunulla, -sillalla tai -täytteellä voidaan hoitaa lohkeilevia, hauraita tai pahasti kuluneita hampaita. Keraamisella menetelmällä saadaan aikaan lopputulos, joka on kestävyydeltään ja ulkonäöltään erittäin luonnollinen ja muistuttaa mahdollisimman paljon oikeaa hammasta.
Ennen hoitoa

Hoidon jälkeen

Purennan korotus keraamisin kruunuin yläetuhampaisiin.
Ennen hoitoa

Hoidon jälkeen

Purennan korotus keraamisin kruunuin.
Ennen hoitoa

Hoidon jälkeen

Asiakkaalla oli voimakkaasti kulunut hampaisto ja useita puuttuvia hampaita taka-alueella. Hoitona päädyttiin korottamaan purentaa keraamisilla kruunuilla sekä korvaamaan puuttuvat hampaat hammasimplanteilla.
Asiakkaalla oli synnynnäisen eroosion vuoksi hampaat kuluneet ja madaltuneet, joten hoitomuotona purentaa korotettiin keraamisin kruunuin. Keraamiset kruunut tehtiin koko hampaistoon ja lisäksi yksi poskihammas korvattiin hammasimplantilla.
Purennan korotus keraamisin kruunuin yläetuhampaisiin.
Ennen hoitoa

Hoidon jälkeen

Purennan korotus keraamisin kruunuin kuluneeseen ja reikiintyneeseen hampaistoon.
Ennen hoitoa

Hoidon jälkeen

Keraamiset laminaatit neljään etuhampaaseen.
Ennen hoitoa

Hoidon jälkeen

Keraamiset laminaatit yläetuhampaisiin.
Ennen hoitoa

Hoidon jälkeen

Keraamiset kruunut yläetuhampaisiin.
Ennen hoitoa

Hoidon jälkeen

Kuluneiden etuhampaiden hoito keraamisin kruunuin.
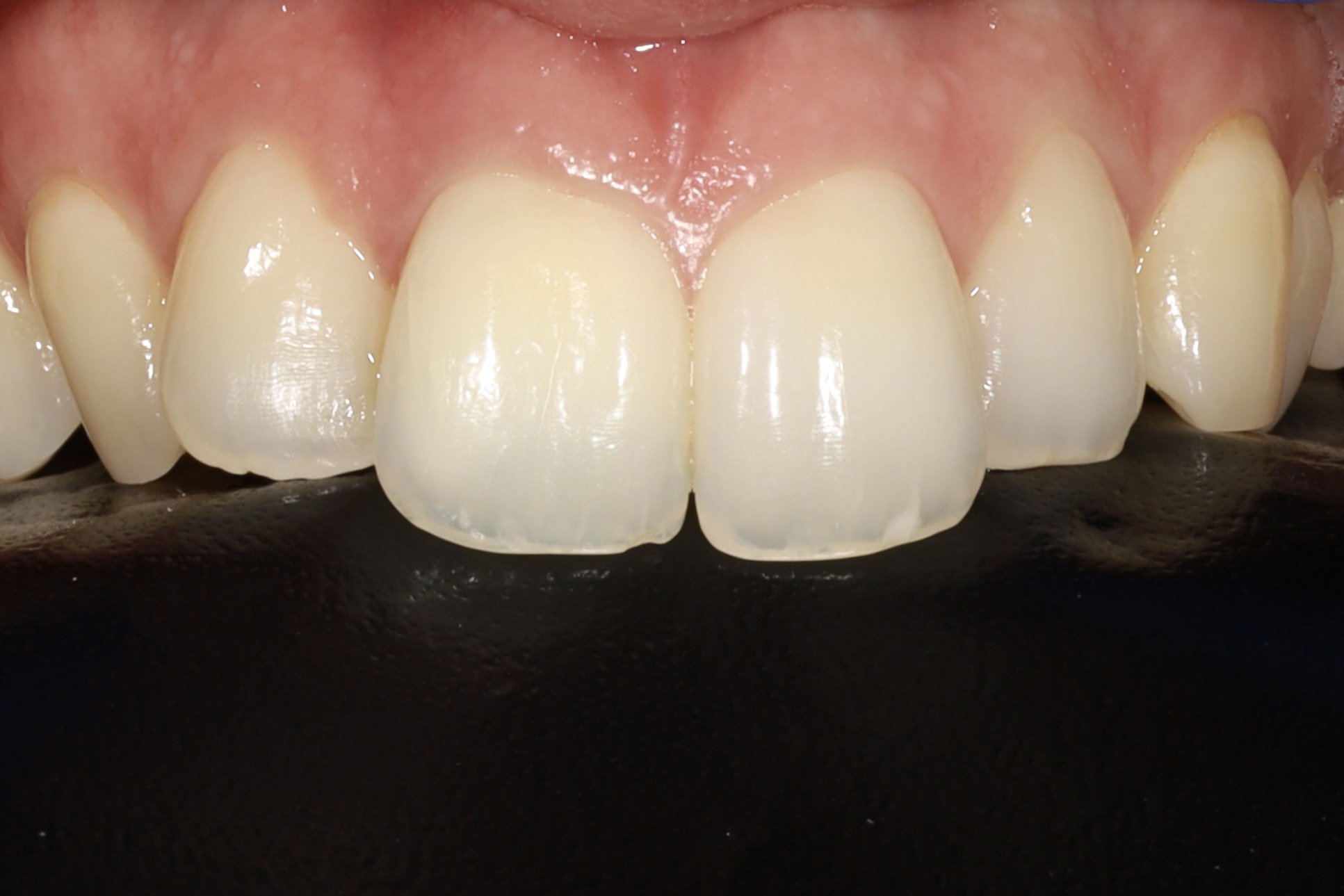
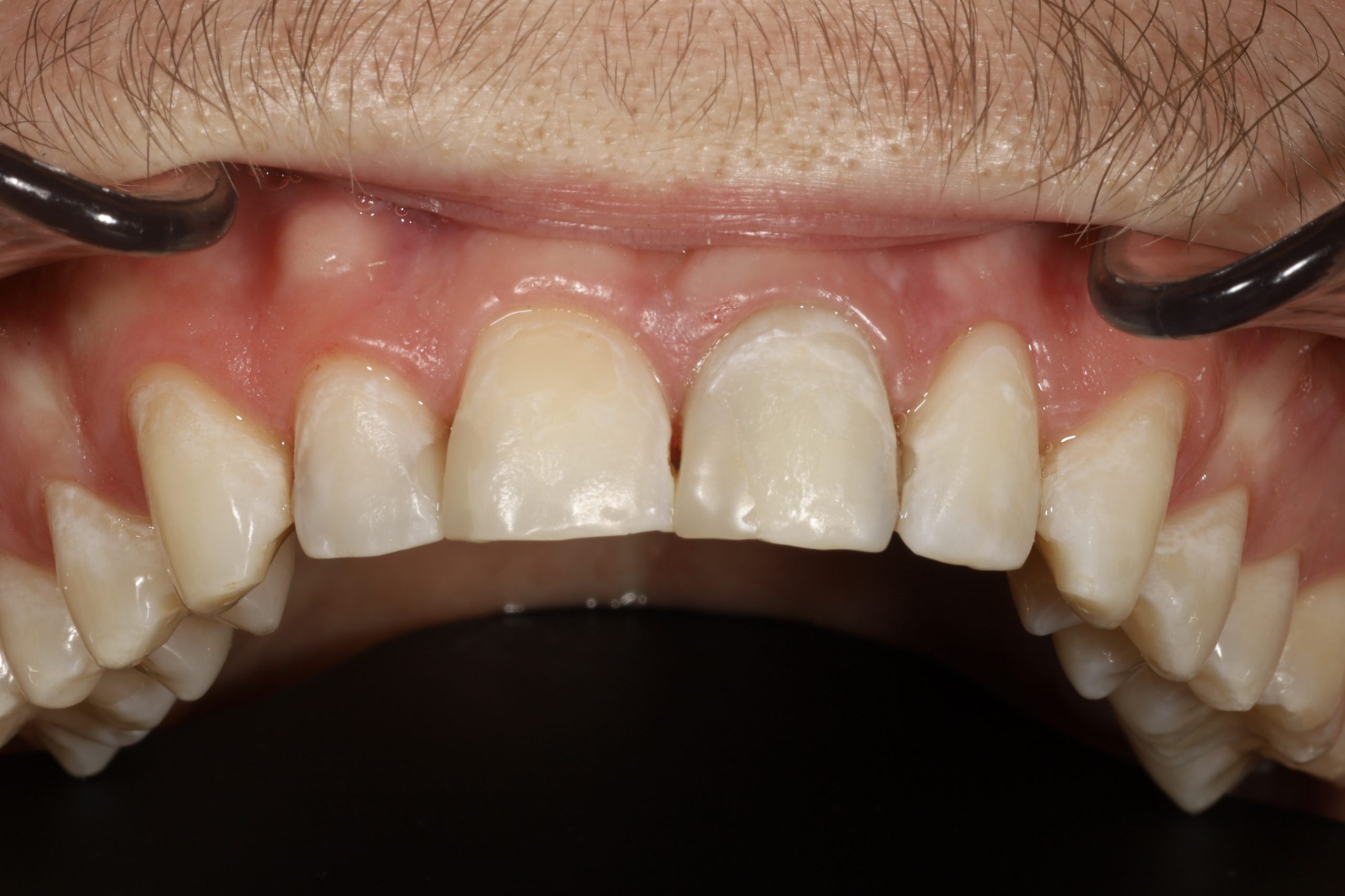
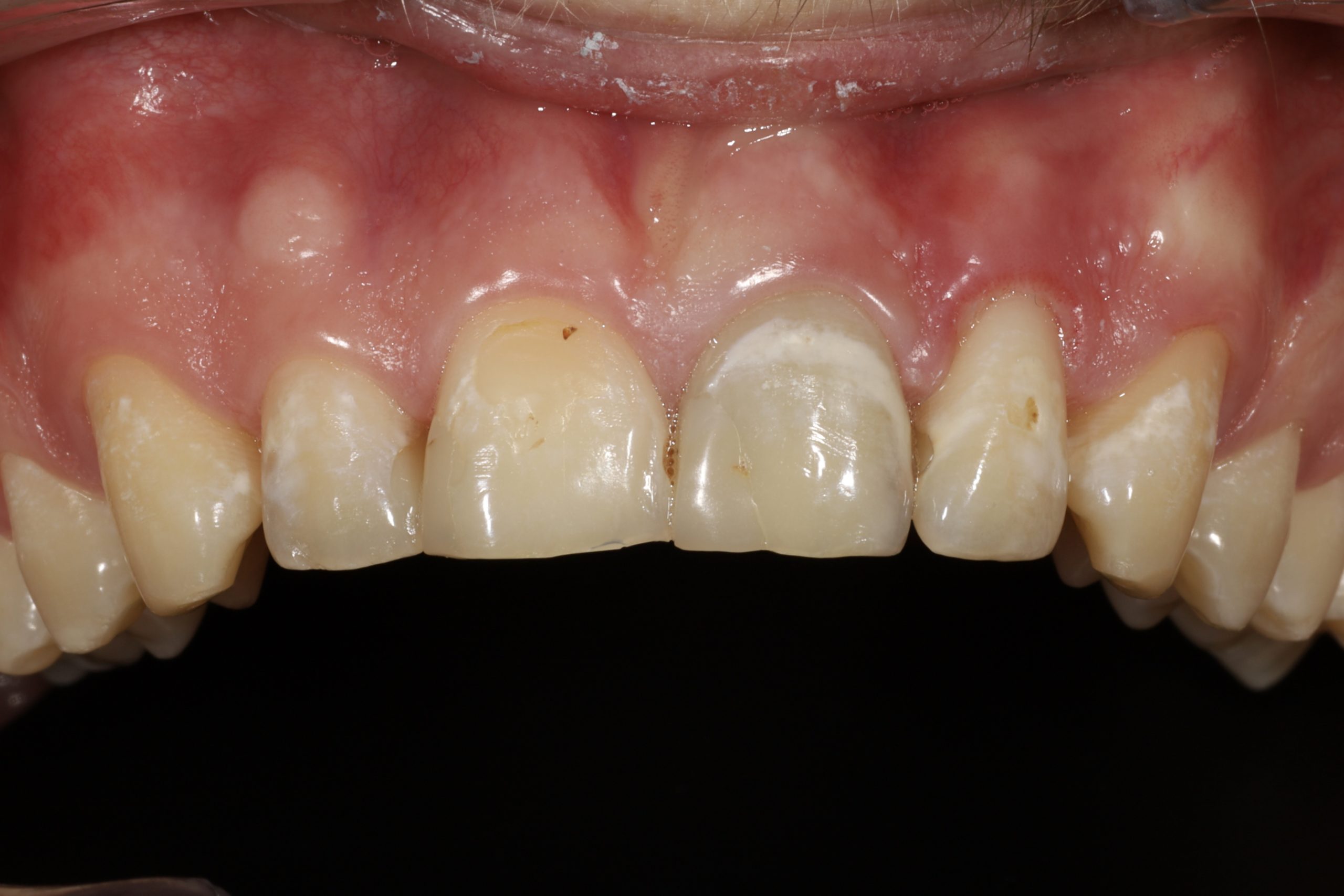
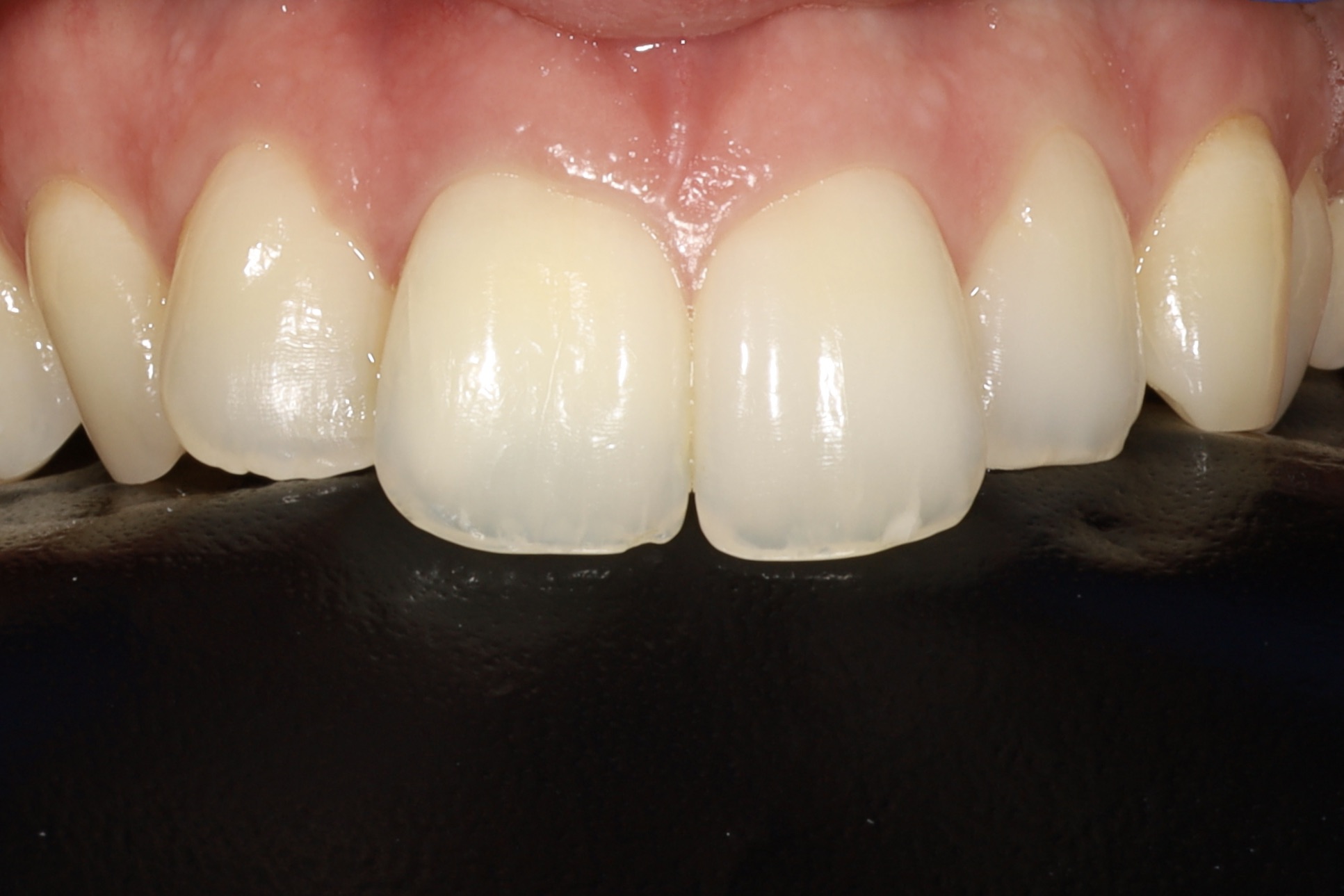
Yhdistelmämuovilla korjaaminen
Hampaiden korjaus yhdistelmämuovilla ei vaadi hampaiden hiomista kuten hammaslaminaatteja tai -kruunuja valmistettaessa usein joudutaan tekemään. Yhdistelmämuovit kiinnitetään suoraan korjattavaan kohtaan ja lopuksi hampaat muotoillaan ja kiillotetaan. Tyypillisiä hoitoja ovat etuhampaan raon pienennys, kuluneen hampaan kärjen korjaus tai koko hampaan asennon ja muodon muokkaus.
Ennen hoitoa

Hoidon jälkeen

Hampaiden välissä olevien rakojen eli diasteeman sulkeminen yhdistelmämuovilla.
Asiakkaalla oli laajoja eroosiovaurioita ja hoitona päädyttiin korjaamaan vauriot yhdistelmämuovilla.
Asiakkaalla korjattu yhdistelmämuovilla etuhampaiden epätasaisuuksia ja muotoa.
Ennen hoitoa

Hoidon jälkeen

Asiakkaalla korjattu yhdistelmämuovilla narskuttelusta aiheutuneita kulumia.
Endovalkaisu
Endovalkaisu tarkoittaa juurihoidetun tai kuolleen hampaan valkaisua. Endovalkaisussa hammas täytetään sisältäpäin valkaisevalla aineella.
Asiakkaalle tehty endovalkaisu toiseen etuhampaaseen. Hoitotulos saavutettu viikossa.
White Spot -hoito
Useilla meistä on hampaiden pinnassa häiritseviä valkoisia tai värillisiä laikkuja tai kirjavuuksia. Niiden aiheuttajia voivat olla esimerkiksi synnynnäinen kiilteen vaurio, oikomishoidon aiheuttama kiilteen vaurio tai mahdollisesti liiallisen fluorin aiheuttama värimuutos.
Asiakkaalle tehty resiini-infiltraatti -käsittely eli White spot -hoito vaaleiden ja ruskeiden laikkujen häivyttämiseksi. Hampaat on ensin puhdistettu ja tehovalkaistu, jonka jälkeen on tehty resiini-infiltraatti käsittely.
Asiakkaalle tehty resiini-infiltraatti -käsittely eli White spot -hoito vaaleiden ja ruskeiden laikkujen häivyttämiseksi. Hampaat on ensin puhdistettu ja tehovalkaistu, jonka jälkeen on tehty resiini-infiltraatti käsittely.
Invisalign-oikomishoito
Invisalign oikomishoitomenetelmä on huomaamaton ja hellävarainen, jonka avulla vinot hampaat voidaan oikaista ilman kiinteitä kojeita. Invisalign-menetelmän avulla saat suorat hampaat ja kauniin hymyn lähes näkymättömillä oikomiskalvoilla.
Aktiivisen hoidon kesto: 21 vko
Hoidon päätteeksi hampaiden epätasaisuuksia on korjattu yhdistelmämuovilla.
Aktiivisen hoidon kesto: 15 viikkoa
Aktiivisen hoidon kesto: 15 viikkoa
Ennen hoitoa

Hoidon jälkeen

Aktiivisen hoidon kesto: 19 vko
Ennen hoitoa

Hoidon jälkeen

Aktiivisen hoidon kesto: 12 vko
Ennen hoitoa

Hoidon jälkeen

Aktiivisen hoidon kesto: 20 vko. Asiakkaalle tehty myös hoidon jälkeen hampaiden tehovalkaisu.
Ennen hoitoa

Hoidon jälkeen

Aktiivisen hoidon kesto: 11 vko. Oikomishoito tehty vain yläleukaan.
Ennen hoitoa

Hoidon jälkeen

Aktiivisen hoidon kesto: 16 vko
Ennen hoitoa

Hoidon jälkeen

Aktiivisen hoidon kesto: 17 vko
Ennen hoitoa

Hoidon jälkeen

Aktiivisen hoidon kesto: 17 vko
Ajanvaraus
Soittamalla: 03 231 0100























